Brain MRI Denoising

Neural Anisotropic Diffusion

A learned Perona-Malik style denoiser that unrolls a diffusion process and predicts spatially adaptive conduction weights for MRI slices.

24.853 PSNR for the learned PDE model
0.719 SSIM for the learned PDE model
+4.460 dB Gain over Non-Local Means
25.875 PSNR for the U-Net baseline

Project Summary

The project treats Br35H brain MRI slices as a denoising benchmark. The model keeps the useful inductive bias of anisotropic diffusion, but learns the spatial conduction weights that control smoothing direction and strength.

Model

The denoiser computes local gradients across 4-neighbor or 8-neighbor stencils. A neural conduction network predicts per-direction diffusion coefficients, and an optional residual refinement stage improves the final reconstruction.

Evaluation

The final split uses 3000 images with 2100 training, 450 validation, and 450 test examples. Metrics include PSNR, SSIM, and Sobel edge MSE for boundary preservation.

Final Comparison

The learned PDE model substantially outperforms the classical denoising baselines. The plain U-Net baseline is included as a stronger neural comparison and achieves the best raw denoising metrics.

Method PSNR SSIM Edge MSE
Noisy Input17.7110.4250.194
Gaussian Smoothing19.0110.5520.185
Median Filter19.5380.5210.136
Bilateral Filter18.9550.4630.136
Non-Local Means20.3930.5850.087
Wavelet Denoising19.5190.5300.106
Skimage TV19.4820.5700.134
Curvature Flow19.9850.5600.113
Classical PM19.6350.5390.106
Unified Neural PDE24.8530.7190.056
Plain U-Net Baseline25.8750.7590.053

Higher PSNR and SSIM are better. Lower Edge MSE is better.

Interpreting The Results

The U-Net baseline performs best on raw denoising metrics, but that does not erase the value of the learned diffusion model. It clarifies what the project demonstrates.

What The Neural PDE Shows

The learned diffusion model beats every hand-designed denoising method in the benchmark by a large margin. Compared with Non-Local Means, it gains +4.460 dB PSNR and +0.134 SSIM while also reducing edge error.

That supports the core idea: a classical diffusion process becomes much stronger when the conduction behavior is learned from data.

What The U-Net Shows

The plain U-Net reaches 25.875 dB PSNR and 0.759 SSIM, outperforming the neural PDE model's 24.853 dB and 0.719 SSIM. It is the best black-box neural denoiser in the final run.

The honest takeaway is that the PDE model is more structured and interpretable, while the U-Net has more flexible representational power for this supervised denoising split.

The final claim is not that learned diffusion beats every neural architecture. The stronger conclusion is that it closes much of the gap between classical PDE denoising and modern neural denoisers while preserving an iterative diffusion structure.

Figures

PSNR and SSIM bar charts

The learned PDE model separates clearly from classical baselines, while the U-Net baseline is the strongest neural denoiser.

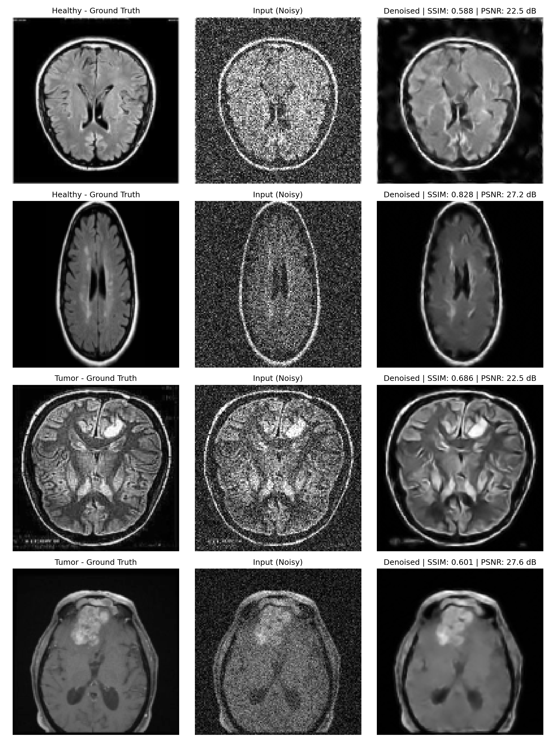
Qualitative MRI denoising examples

Representative clean, noisy, and denoised MRI slices.

Full Method Grid

Full denoising comparison grid

Noise Robustness

Fixed-noise sweeps evaluate the trained PDE model across corruption types and strengths. Speckle noise is the easiest setting in this sweep; high Gaussian and high Rician corruption are the hardest.

Noise Sigma 0.05 Sigma 0.10 Sigma 0.15 Sigma 0.20
Gaussian PSNR26.37624.56722.65521.063
Rician PSNR26.66925.53624.51322.094
Speckle PSNR27.02626.62726.00225.190
Mixed PSNR26.69925.60024.40722.765

Ablation Takeaways

The ablation suite indicates that residual refinement is the most important optional component. MiniUNet guidance did not help in the short ablation run.

Variant PSNR SSIM Best Val Loss
Full Model24.1180.6910.354
No MiniUNet Guidance24.2490.6990.344
No Residual Refinement22.7980.6010.443
4-Neighbor Diffusion24.0080.6860.356